Cas clinique
Un fœtus se développe avec les jambes en dehors de l’utérus
A Angers, une patiente a subi une grossesse rare : les jambes du foetus sortaient de son utérus. Un cas rare, publié dans le New England Journal of Medicine
- Par Ambre Amias
- Commenting
- pressmaster/epictura
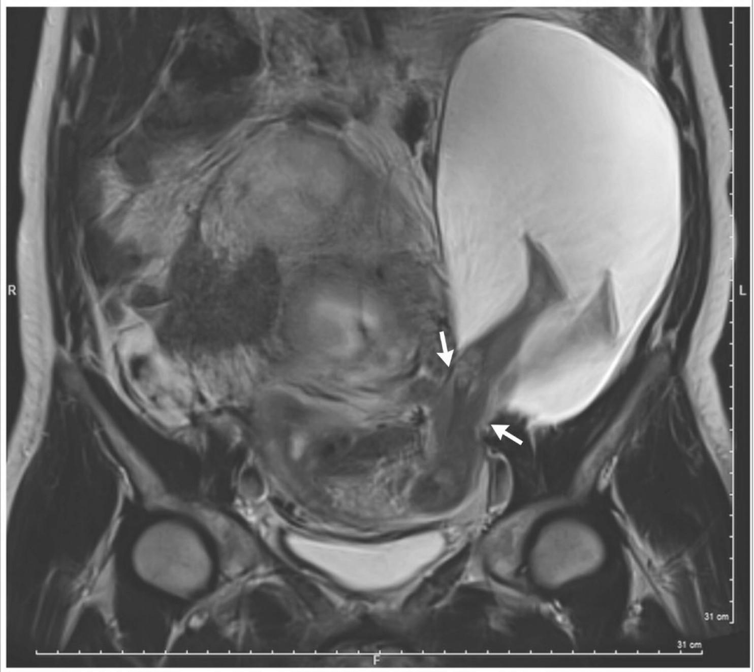
Sur les scanners, on l’aperçoit : une paire de jambes qui dépasse de l’utérus. Le cas est très rare, et tout autant impressionnant. Le New England Journal of Medine se fait l’écho de cette grossesse peu ordinaire, prise en charge au CHU d’Angers et commentée par le médecin dans les colonnes du Washington Post.
Rupture utérine
Contrairement à ce qu’on pourrait penser, » un coup de pied mal placé n’est pas responsable », explique le Dr Pierre-Emmanuel Bouet au journal américain. Passée la surprise de l’IRM, l’équipe a en effet compris que la paroi utérine de la mère n’avait pas réussi à recouvrir complètement le fœtus. Cela est dû à l’historique de cette patiente qui avait subi cinq césariennes et dont l’utérus avait conservé une certaine forme de rigidité.
Au gré de la grossesse, cette rigidité a provoqué une déchirure de la paroi utérine, désignée sur l’IRM par des flèches. Le cas est très rare, c’est le 27e de l’histoire de la gynécologie obstétrique. Autre fait inhabituel : la patiente est restée asymptomatique, alors que les femmes qui subissent des ruptures utérines ressentent des douleurs intenses en raison de saignements internes. Mais « la hernie ombilicale a comprimé les bords de la déchirure utérine, et a eu un effet hémostatique » précise encore le médecin. En plus de cela, les jambes du fœtus ont « bouché » la déchirure, ce qui explique qu’il n’y ait pas eu de pertes sanguines. Le bébé, né par césarienne et prématuré, se porte aujourd’hui très bien.
(The New England Journal of Medicine)Effet "bouchon"










