Anomalies de la colonne vertébrale
Smartphone : les adultes de demain seront bossus !
PHOTOS - L'utilisation intensive du téléphone portable modifie la position corporelle des enfants et adolescents, qui manifestent des troubles croissants du cou et de la colonne vertébrale.
- Par Suzanne Tellier
- Commenting
- POUZET/SIPA
Des bossus, cous voûtés et dos tordus. Voici à quoi ressemblera la future génération d’adultes, constituée des actuels adolescents dont la physionomie se modifie au gré des technologies. L’ennemi de notre colonne vertébrale a un nom : le téléphone portable.
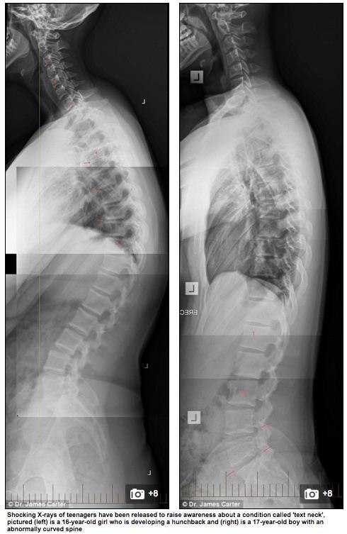
C’est un chiropracteur australien qui tire l’alarme et publie sur le site du Daily Mail Australia les radiographies de ses jeunes patients - des enfants et adolescents dont le smartphone accompagne le quotidien et bouleverse la position corporelle. Le praticien évoque une explosion des cas de pathologies osseuses liées à l’utilisation des écrans.
« Le cou du texto »
James Carter dénonce ainsi l’épidémie de « cous du texto » qui frappe la jeunesse des temps modernes. Cette pathologie est le résultat des nombreuses heures passées devant un téléphone, corps recroquevillé vers l’avant, tête baissée sur l’écran.
L’épidémie, encore silencieuse, n’est pas invisible. Un coup d’œil aux clichés radiologiques suffit pour s’en persuader. La maladie frappe les plus jeunes - la moitié des patients de James Carter vont à l’école. Elle s’accompagne d’anxiété et de symptômes dépressifs, et peut générer des dommages irréversibles et permanents de la colonne vertébrale.
Sur le cliché de droite, on aperçoit l’ossature d’une jeune fille de 16 ans. Selon le médecin, elle est en train de développer une malformation dorsale et risque de devenir bossue. Le cliché de droite appartient à un adolescent de 17 ans, qui présente une courbure anormale de la colonne vertébrale.

« Au lieu d’avoir une courbure normale, vers l’avant, on constate chez ces patients une courbure vers l’arrière, explique James Carter. Cet état provoque souvent des douleurs au cou, aux épaules et au dos. Beaucoup de patients consultent pour des maux de tête, mais on réalise très vite qu’il s’agit d’un cas de ‘cou du texto’ »

Cliché d'un patient de sept ans présentant le "cou du texto" - avant et après le traitement.






-1770287932.jpg)



